Fluoride Toxicity in Seattle, WA
What is fluoride?
While fluoride can be helpful in remineralization, excessive use of fluoride can cause major health problems.
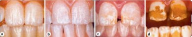
Fluoride is a naturally occurring mineral found in water, soil, plants, and foods. It can also be synthetically produced. Excessive fluoride ingestion can cause teeth discoloration called dental fluorosis. Teeth will have white marks, lines, or patches.
Effects of Fluoride on teeth and body
- Stains ranging from yellow to dark brown
- Pits that are highly noticeable
- Brittle bone and teeth
- Negative affects to kidney

Mild dental fluorosis can result in a change of the appearance of the tooth surface, by causing hypermineralization bands of enamel. Severe fluorosis can cause pitting and brown spots on children's enamel.
Below are some sources of fluoride:
- Beverages, including fluoridated tap water
- Foods processed with fluoridated water
- Toothpaste and other oral care products
How do I prevent fluorosis?
- Ensure kids do not ingest toothpaste
- Avoid using toothpaste containing fluoride
- Ask a holistic dentist in Seattle, WA if you suspect you or your kid(s) may have dental fluorosis
At Seattle Dental Care in Seattle, WA, our biological dentists will approach with a focus on patient comfort and safety with dental materials that are fluoride free, BPA free, and toxin free. Our team of dedicated integrative dentist will ensure that you receive the best care possible and that you understand the importance of preventive care and nutrition. If you're ready to experience the best biological dentistry, please contact holistic dentist Seattle at (206) 728-1330 or visit us at 2107 Elliott Ave Ste 210, Seattle, WA 98121. We will be happy to guide you further.
