Cosmetic Dentistry At Seattle Dental Care
Cosmetic Dentistry At Seattle Dental Care
What Is Cosmetic Dentistry?
Virtually every procedure we do in our dental office involves cosmetic and biological dentistry. We have a virtually metal-free practice, and the dental materials we have available are incredible. Health is our primary concern, and part of health is looking good because our appearance affects how we feel about ourselves. Cosmetic dentistry engenders feelings of well-being and confidence, which in turn affects our health. Most procedures we do are done to look good and last a long time.
Whitening
Laser Whitening helps many patients who have discolored, or stained teeth to have a whiter and brighter smile, often in just one visit. We offer either in-office or at-home biological whitening treatments, and with the use of our new laser, the Biolase Epic, we are able to perform in-office teeth whitening with less chemicals and less sensitivity, which lasts a long time.

Smile Lift
Smile lift is a procedure that opens up the bite and dramatically improves facial features and the smile at the same time. Aging causes wrinkles and sagging of the skin, but by building up the teeth with biocompatible dental veneers and bonding, the lips become better supported, and a more youthful appearance is achieved. At the same time, the veneers give a natural and nearly perfect smile. Many of our patients report looking and feeling 10-20 years younger, all without the use of harmful toxins like Botox or cosmetic surgery.
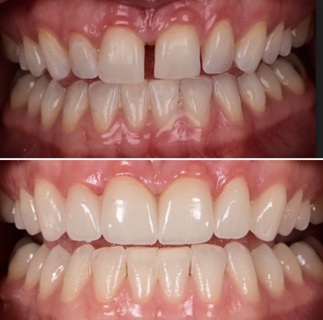
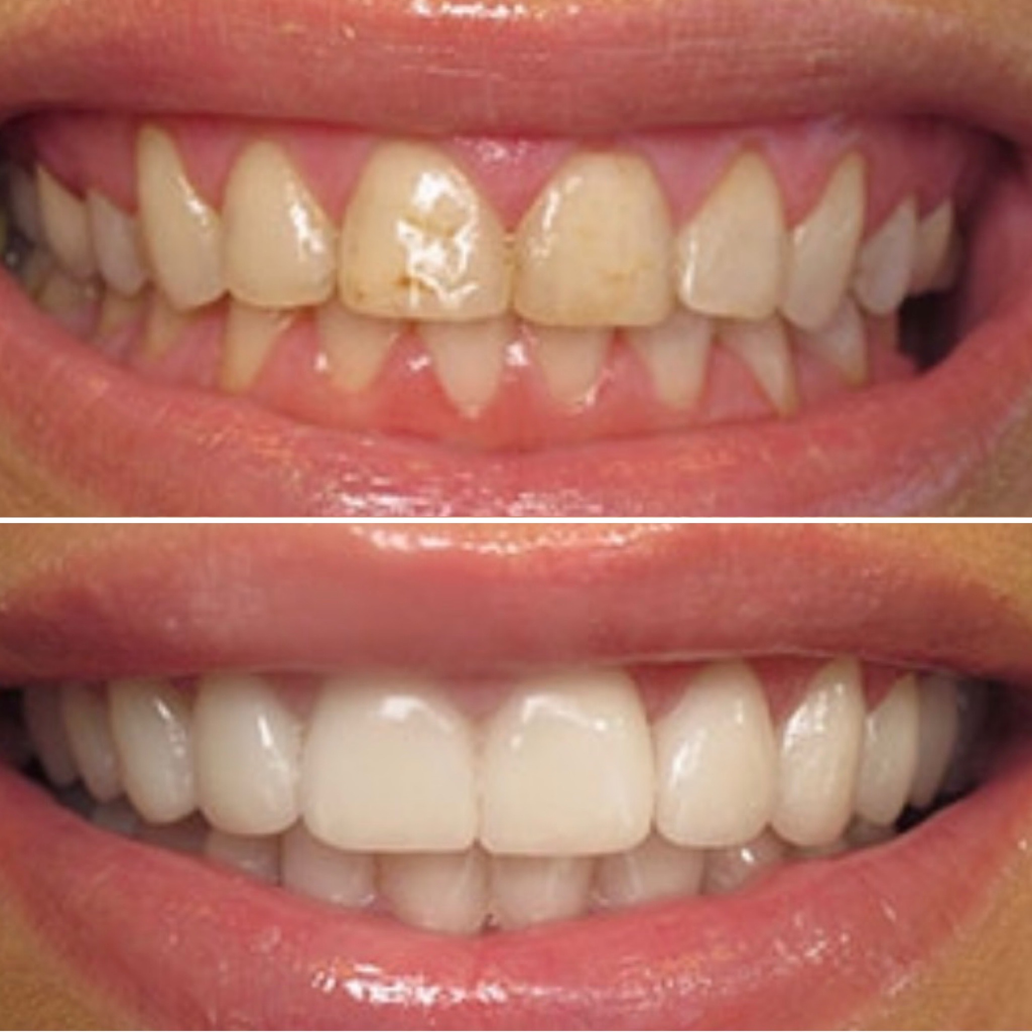
Veneers
Thin porcelain veneers in shades of white can be fabricated to enhance and improve your smile. We can design them to cover up chips, broken teeth, and fix worn-down teeth, discoloration, or misaligned teeth. In addition, ceramic veneers are great for covering up gaps in the teeth or just improving the overall appearance.

Ceramic Implant
Replacing a missing tooth is very important. Zirconia implants can restore a person's smile and bite. Teeth lost to trauma, decay, or a failed root canal can be replaced with a ceramic zirconia implant. These implants are placed where the tooth was lost and restored with an all-ceramic crown. While not all patients qualify for dental implants, we will find the best solution for you.
Full Mouth Reconstruction
This treatment involves several procedures designed for people with extensive dental needs, where most or all of the teeth need to be restored. It can include Smile Lift, but not always. Damaged or worn teeth weaken a person's ability to chew and can negatively impact the smile. This treatment corrects the relationship between teeth, bones, and muscles. With veneers, crowns, implants, and/or whitening, we can restore the teeth to health and improve their appearance at the same time, saving the teeth for a lifetime.
If you are looking for a beautiful, healthy smile, our biological dentist at Seattle Dental Care can help. Contact us at (206) 728-1330 or visit us at 2107 Elliott Ave Ste 210, Seattle, WA 98121 for more information.
