Laser Therapy: A Gentle and Effective Solution for Periodontal Disease

Laser Therapy: A Gentle and Effective Solution for Periodontal Disease

Laser Therapy in Seattle, WA: A Gentle and Effective Solution for Periodontal Disease  Gum disease, also known as periodontal disease, is a common yet serious oral health condition that affects nearly half of American adults over the age of 30. If left untreated, it can lead to tooth loss, bone deterioration, and even systemic health […]

Whole-Body Focused Biological Dentistry & Ceramic Implants in Seattle, WA

At Seattle Dental Care, our approach as a biological and holistic dental office goes far beyond routine checkups. We offer comprehensive, whole-body dentistry that includes everything from biological cleanings and zirconia implants to IV therapy and advanced biocompatible surgical care. For patients seeking more than just conventional treatments that simply masks the symptoms, our practice […]

6 Warning Signs for Titanium Implant Allergy

6 Warning Signs for Titanium Implant Allergy

6 Warning Signs for Titanium Implant Allergy    Titanium implant allergy is a commonly overlooked condition that can trigger both oral and systemic symptoms following a dental implant procedure. If you’re experiencing persistent fatigue, oral discomfort, sinus issues, or skin reactions such as rashes or itchiness, your body may be reacting to titanium sensitivity or […]

Zirconia Implant

Zirconia Implant

Zirconia Implants in Seattle, WA: The Biocompatible, Metal-Free Solution That Supports Your Immune System What Is Zirconia Implant? Risks of Titanium Implant Why Zirconia Is a Safer, Biocompatible Implant Who to Contact for Zirconia Implant Zirconia implants are a type of biocompatible, metal-free dental implant that offer a safe and holistic alternative to traditional titanium […]

Treat Gum Disease with Laser Therapy

Treat Gum Disease with Laser Therapy

Treat Gum Disease with Laser Therapy in Seattle, WA Gum disease can affect millions of people worldwide and one affective solution can be laser gum therapy, a non-surgical periodontal treatment gaining traction among both dentists and patients alike. This state-of-the-art approach offers a compelling alternative to traditional surgery while delivering impressive results. If you're seeking […]

Why Holistic Dentists Approach Cosmetic Dentistry Differently

Why Holistic Dentists Approach Cosmetic Dentistry Differently

Smile Makeover with Holistic Dentist in Seattle, WA Many people seek out traditional methods to achieve their dream smile, but there's an alternative that’s gaining traction: holistic dentistry. This approach goes beyond just the aesthetics of your teeth; it considers your overall health and well-being. For those curious about how a holistic dentist might reshape […]

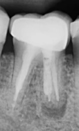
Thinking About a Root Canal?

Thinking About a Root Canal in Seattle, WA?  Root canals are one of the most frequently recommended dental procedures, often presented as the only solution for a tooth that’s infected or necrotic (dead). But before committing to this conventional treatment, it’s important to understand what’s really involved and what other options may be available to […]

How Lyme Disease Affects the Body and the Mouth

How Lyme Disease Affects the Body and the Mouth Lyme disease is a complex and often misunderstood condition. Caused by the Borrelia burgdorferi bacteria transmitted through tick bites, Lyme disease can affect multiple systems in the body including the nervous system, joints, skin, and even your mouth. For patients with Lyme, conventional treatment often focuses […]

How Your Oral Microbiome Controls Cavities and Gum Health

How Your Oral Microbiome Controls Cavities and Gum Health

How Your Oral Microbiome Controls Cavities and Gum Health When we talk about cavities and gum disease, the conversation often centers around sugar, flossing, and brushing. But beneath the surface lies a more dynamic player: your oral microbiome, the complex community of bacteria, fungi, and other microorganisms that live in your mouth. At Seattle Dental […]

The Meridian of the Teeth

The Meridian of the Teeth

The Meridian of the Teeth Most people think of teeth as standalone structures, used for chewing, smiling, or simply something to be cleaned twice a day. But at Seattle Dental Care – Biological Dental Care in Seattle, WA, we know your teeth tell a much deeper story. They’re not just part of your mouth they’re […]

Biological Dentistry (formerly known as Seattle Dental Care)
Office Hours

MON - SUN 8:00 am - 5:00 pm

Location

2107 Elliott Ave Ste 210,

Seattle, WA

Phone : (206) 728-1330
Text Us : (206) 728-1330

Email : [email protected]